Radiology department放射線部
放射線科医師
| 院長補佐 | 村嶋 秀市 | 医長 | 伊熊 宏樹 |
|---|---|---|---|
| 医師 | 伊藤 絵 | 医師 | 岸 誠也 |
| 医師 | 山口 慎太朗 | 医師 | 新井 克弥 |
| 医師 | 平野 忠則 |
放射線治療科医師
| 医長 | 川村 智子 | 医師 | 加藤 晴香 |
|---|
診療放射線技師(28名)
| 技師長 | 姫子松 博洋 |
|---|---|
| 副技師長 | 豊田 友美 |
| 主任 | 中西 直紀 山本 憲一 川野 聡子 井上 友美 |
| 他 | 22名 |
主な取得資格・認定資格一覧
| 認定資格 | 認定機構 | 取得人数 |
|---|---|---|
| 第1種放射線取扱主任者 | 原子力規制委員会(国家資格) | 3 |
| X線CT認定技師 | 日本X線CT専門技師認定機構 | 4 |
| 肺がんCT健診認定技師 | 肺がんCT検診認定機構 | 1 |
| 磁気共鳴(MR)専門技術者 | 日本磁気共鳴専門技術者認定機構 | 2 |
| 血管撮影・インターベンション専門診療放射線技師 | 日本血管撮影・インターベンション専門診療放射線技師認定機構 | 2 |
| 救急撮影認定技師 | 日本救急撮影技師認定機構 | 4 |
| 検診マンモグラフィ撮影診療放射線技師 | 日本乳がん検診精度管理中央機構 | 7 |
| 胃がん検診専門技師 | 日本消化器がん検診学会 | 2 |
| 胃がんX線検診読影部門B資格 | NPO法人日本消化器がん検診制度管理評価機構 | 1 |
| 医学物理士 | 医学物理士認定機構 | 1 |
| 放射線治療専門診療放射線技師 | 放射線治療専門放射線技師認定機構 | 2 |
| 放射線治療品質管理士 | 放射線治療品質管理機構 | 3 |
| 放射線管理士 | 日本診療放射線技師会 | 9 |
| 放射線機器管理士 | 日本診療放射線技師会 | 11 |
| 医療画像情報精度管理士 | 日本診療放射線技師会 | 4 |
| 臨床実習指導教員 | 日本診療放射線技師会 | 8 |
| Ai認定診療放射線技師 | 日本診療放射線技師会 | 2 |
| 画像等手術支援認定技師 | 日本診療放射線技師会 | 5 |
| ピンクリボンアドバイザー(初級) | 認定NPO法人乳房健康研究会 | 1 |
画像診断装置・放射線治療装置のご紹介
当院では以下の画像診断装置・放射線治療装置を用いています。
CT検査 |
SOMATOM Drive ( Siemens ) |
|---|---|
SOMATOM X.cite ( Siemens ) |
|
LightSpeed VCT VISION FREEdom ( GE ) |
|
MRI検査 |
Ingenia 3.0T ( Philips ) |
Achieva 1.5T dStream ( Philips ) |
|
RI検査 |
Discovery NM630 (GE) |
PET/CT検査 |
Discovery PET/CT 710/128 (GE) |
放射線治療 |
Synergy(MLCi)kVイメージング搭載装置(Elekta) |
Synergy(Agility)kVイメージング搭載装置(Elekta) |
|
血管造影検査 |
Azurion 7 B12/12 ( Philips ) |
Allura Clarity FD20/20(Philips) |
|
BRANSIST Safire ( SHIMADZU ) |
|
マンモグラフィ検査 |
Senographe Pristina ( GE ) |
| Senographe DS LaVerite(GE) | |
| X線透視検査 | ZEXIRA ( Canon ) *2 |
| Ultimax i ( Canon ) | |
| Astorex i9 ( Canon ) | |
| 一般撮影検査 | RADspeed Pro (SHIMADZU )*3 |
| RADREX ( Canon ) | |
| 骨塩定量検査 | PRODIGY-C ( GE ) |
放射線部門のご紹介
当院放射線科では、以下のような検査・治療を行っています。
X線(レントゲン)を使った検査
X線を人体に当て、透過してきたX線を画像にする検査です。
その時に造影剤という薬を使うこともあります。
一般撮影検査
X線撮影は、人体を透過したX線をフィルムやX線を検出できる“特殊な装置”で画像化するものです。フィルムを使用していた頃の「アナログシステム」から始まり、CR(コンピューテッドラジオログラフィ)やFPD(フラットパネルディテクタ)を用いた「デジタルシステム」に時代とともに移行してきました。
検出器の高感度化や、デジタル画像処理技術の進歩により、軟部から骨部まで幅広い領域を描出することが可能となり、被ばく線量も大幅に低減されました。
当院では、X線発生装置に島津製作所製とCanon製、X線の検出装置にCanon製FPD(フラットパネルディテクタ)を使用しています。
![]() 臥位テーブルFPD |
![]() 立位スタンドFPD |
![]() 一般撮影コンソール |
|
検査内容
胸部
皆さんに最もよく知られているのが胸部X線撮影(胸部レントゲン)でしょう。「息を吸って、止めてください」という合図で撮影されます。
腹部 胸部撮影と異なり「息を吸って、吐いてから止めてください」と合図されます。 骨 手や足、関節、脊椎など全身の骨に対して、骨折や関節脱臼、その他いろいろな骨の変化を、多方向から撮影し評価するため、様々な姿勢、体位で撮影が行われます。 ◇妊娠、または妊娠している可能性がある方は、必ず申し出てください。 ◇エックス線撮影では、厚みのある生地やプリント、ボタン、金属やプラスチックを含む下着 (ブラジャー・コルセット類)、ゴム、湿布やエレキバン、装飾品などは、写真に写ってしまいます。これらは診断に支障をきたすため、再度撮影を行う場合があります。また、エックス線撮影を受ける際に、患者さんが厚着であったりすると、正確な撮影が困難になることがあります。以上のような理由で更衣等をお願いすることがあります。ご協力をお願いします。
|
||
乳房撮影
マンモグラフィ(乳房撮影)とは
乳房のエックス線撮影のことです。
乳房は柔らかい組織でできているため、専用の装置を使って撮影します。
乳がんの精密検査や検診に用います。
検査内容
専用装置を用いて、乳房を直接板で挟み、乳房がなるべく均等に薄く押し広げられるよう圧迫を加えます。
乳房を片方ずつ、挟む方向を変えて2回撮影(頭尾方向、内外斜位方向)します。両方の乳房で計4回の撮影です。(人間ドックでは内外斜位方向を1回ずつ、計2回の場合もあります)
圧迫を加えることで痛みを感じる方もみえますが、圧迫を加えて乳房を押し広げることで、乳腺組織をより鮮明に写し出し、少ないエックス線量で画像を得ることができます。
1回の撮影は数秒間で終わります。
注意事項
※検査を受けていただくにあたって、食事の制限はありません。
※検査はいつでも受けていただけますが、乳腺は女性ホルモンの影響を受けているため、乳房が張っている月経前~月経中よりも、乳房がやわらかい月経後1週間~10日くらいが適しているといわれています。
※記に当てはまる方は、検査ができない場合があります。
・妊娠中または妊娠の可能性のある方
・ペースメーカー、CVポート、V-Pシャントカテーテルを入れている方
・豊胸術をされている方
・授乳中の方
| 日本乳癌検診学会など、9学会で組織した「日本乳がん検診精度管理中央機構 (精中機構)」では、一定以上の成績を上げた医師、技師、施設に対して認定を 行っています。 当院では、認定を受けた医師による読影と、認定を受けた女性技師により撮影を 行っております。 また、装置はマンモグラフィ検診施設画像認定を受けております。 |
透視検査
透視検査とは
人体を透過したX線を電気信号に変えて透視画像をテレビ画面に映し出し、映し出された画像を観察しながら、レントゲン撮影をおこなう検査で、代表的な検査としては胃透視検査、大腸の注腸検査等があります。
検査内容
上部消化管(食道・胃・十二指腸)造影検査
バリウム造影剤、約150mlを飲んでいただき食道、胃、十二指腸の形、動き、粘膜の状態を観察しながら、いろいろな方向からレントゲン撮影を行い、がんや潰瘍等の病気がないか調べる検査です。
大腸(注腸造影)検査
注腸検査は肛門からバリウムと空気を注入し、直腸から小腸と大腸がつながる回盲部までの全大腸をいろいろな方向からレントゲン撮影を行い、ポリープ、がん、大腸炎等の病気がないか調べる検査です。
尿路造影検査
DIP(点滴静注腎盂撮影法)
ヨード造影剤を点滴で静脈内に投与し、腎臓から排泄される造影剤を定時的に撮影いたします。 排泄される通路(腎盂・尿管・膀胱)を造影剤で描出します。
その他の検査
消化管の中で一番長い小腸造影検査、内視鏡を併用して行う胆管・膵管の造影検査(ERCP:逆行性膵・胆管造影)、胆道結石の治療(EST:内視鏡的乳頭切開術)等の検査治療を行っています。
注意事項
上部消化管造影検査を受けるにあたって
検査前日の夕食は軽めの食事を午後9時までに済ませていただき、夕食後は飲食しないようお願いします。検査当日は検査が終わるまでは飲食(お茶、タバコも)はしないようにお願いします。ただし、糖尿病、心臓病の薬を飲んでいる方は服用について医師、または看護師にご相談ください。
検査の前に着替えをしていただきますが、ボタン、ホック等のついた下着類は脱いでください。検査は約10分ほどで終わりますが、より精密な検査が必要な場合は30分から1時間かかる場合があります。また精密検査を受けていただく場合は胃腸の動き(蠕動)を一時的に止める注射をします。注射の影響で口が渇いたり、眼がぼやけたりしますが一時的なものですから心配はありません。この注射については、心臓病、緑内障、前立腺肥大等の病気をお持ちの方は注射ができない場合がありますから、問診時に申し出てください。
検査については、バリウムと胃を膨らませる薬(発泡剤)を飲んでいただき、撮影台の上でいろいろな方向に体位変換をしていただきレントゲン撮影を行います。胃を膨らませる薬でゲップが出そうになりますがゲップはできるだけ我慢してください。
検査が終わりましたら下剤をお渡しいたしますが、検査終了後はできるだけ水分(水・お茶・牛乳など)を摂っていただきますようにお願いします。それでも数日間バリウム便が排泄されない場合は、電話連絡のうえ来院していただき医師または看護師にご相談してください。
注腸検査を受けるにあたって
この検査で大切なことは大腸に便残渣を残さないように、大腸の中を空っぽの状態で検査を受けていただくことが肝心です。そのために検査前日は少し物足りないかもしれませんが朝、昼、夕食と検査食(大腸に便として残らない食品)を食べていただき、就寝前に下剤(水薬)を飲んでいただきます。下剤服用後は何度もトイレに入っていただくことになりますが、大腸の中を空っぽにすることが肝心ですから我慢してください。
検査当日、検査までに時間があり空腹を感じましたら少しくらいの水分(紅茶など)を摂っていただくか飴などを舐めていただいて結構です。
検査について、肛門にカテーテル(管)を挿入いたします。このカテーテルからバリウムと空気を注入し胃の検査と同様に撮影台の上でいろいろな方向に体位変換をしていただきレントゲン撮影を行います。検査時間は約15分から20分ぐらいで終了しますが、検査にあたり胃腸の動きを一時的に止める注射をしますから検査が終わっても、しばらくの間、口が渇いたり眼がぼやけたりしますが一時的なものですから心配はありません。
また検査終了後は、胃の検査同様、下剤をお渡ししますが、できるだけ水分(水・お茶・牛乳など)を摂っていただくようお願いいたします。それでも排便・排ガスが困難な場合は電話連絡のうえ来院していただき医師または看護師にご相談してください。
尿路造影検査(DIP:点滴静注腎盂撮影法)を受けるにあたって
検査前4~5時間は食事等をご遠慮ください。
水分(お茶・お水)はかまいません。
(水分制限をされている方はお申し出ください。)
排便・排ガスは行ってください。
ヨード造影剤を投与いたします。ヨード過敏症・アレルギー体質・ぜんそく・糖尿病・甲状線機能亢進症の方は担当医にお知らせください。
検査中に気分が悪くなられた方は、検査担当者にお知らせください。
検査後および帰宅後に気分が悪くなられた方は、病院までご連絡ください。
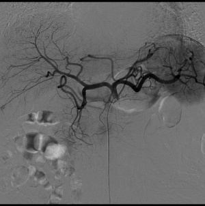
血管撮影検査
血管造影検査とは
血管撮影室という清潔な部屋で、足の付け根や腕の血管から、カテーテルという細い管を挿入し、そこから造影剤という薬を注入して検査を行います。
検査内容
脳血管検査
脳出血の原因となる動脈瘤(こぶ)や脳血管の奇形などの手術の前に、その状態を詳しく観察する際に行います。また、血管が細くなったり詰まったりしたのを調べるうえでも欠かせない検査です。脳腫瘍の手術の前には、腫瘍の近くを重要な血管が通っていないか、また、腫瘍を栄養している血管などを調べます。
![]() |
![]() |
![]() |
![]() |
脳血管検査心臓検査
動脈硬化などで狭くなった血管の状態や、心臓のポンプ機能、弁の働き、不整脈などを調べる事ができます。また、狭くなった血管を風船やステントと呼ばれる金網で広げる治療や、不整脈の治療も同じ部屋で行うことができます。
![]() |
![]() |
![]() |
![]() |
![]() |
![]() |
脳血管検査下肢血管検査
足の血管が動脈硬化などで狭くなったり、詰まってしまっていないかを調べます。心臓の血管治療と同様に、ステントと呼ばれる金網や、風船を用いて血管を広げて治療します。
![]() |
![]() |
![]() |
腹部血管検査
腹部の太い血管、肝臓や腎臓、胆嚢、腸など、腹部の臓器の血管の状態を調べる事ができます。また、腫瘍や出血の治療として、カテーテルから薬を注入したり、血流を止めたりする治療も行うことができます。
![]() |
![]() |
脳血管検査注意事項
造影剤を使用すると、まれに各種の副作用が現れることがありますが、検査中はスタッフが様子を十分に観察しており、副作用が起こった場合にも素早く対応することができますのでご安心ください。
また、造影剤は数時間で尿とともに体の外に排出されますので、検査後は十分に水分を取って下さい。
骨塩定量
この度2015年9月に新しい骨塩定量装置が導入されました。
本装置はDEXA法と呼ばれる2種類の異なるX線を照射して骨と軟部組織の吸収率の差から骨密度を導き出しています。また照射方式もGE社独自のスマートファンビームを用いており従来のペンシルビームの16スライス分を1回の走査で計測を行いますので検査時間が1部位あたり約30秒で終了します。
脳血管検査骨塩定量とは
骨に含まれるカルシウムやマグネシウムなどのミネラル成分を調べる検査です。 検査結果は・・・ ・骨粗鬆症の診断や治療の経過観察 ・ホルモンのバランス異常による骨疾患、先天性の代謝性骨疾患の診断や治療、病態の解明になどに使われます。
検査内容
当院の装置では腰椎正面、大腿骨頸部、前腕の3つの部位で骨密度を測定できます。
検査部位は骨折の可能性の高い腰椎や大腿骨頸部を測定することが一般的です。
検査時間は1部位30秒ほどで終了します。
右の写真が腰椎正面の検査結果例です。
グラフの緑のエリアに結果があれば、正常値で
黄色は骨量が減少しており、赤が骨粗鬆症を
示しています。
注意事項
レントゲン撮影と同様にX線を使用しますので、レントゲン写真に写る様な金属類・プラスチック類(ボタン・ファスナー・ベルトなど)は外して頂き、場合によっては検査着に着替えて頂きます。
また、バリウム検査やヨード造影剤を使用した検査の後は正確な測定ができないので、時間をおいて検査する必要があります。
PET-CT検査
PET・CT検査
主にがん細胞に集まる放射性同位元素(RI)を体内に投与し、がんの有無やその拡がりを画像にする検査です。同時にCTを撮影し、さらに診断の質を高めます。
PET-CT検査とは
PET-CT検査はPET(Positron Emission Tomography:陽電子断層撮影法)とCT(Computed Tomography:コンピュータ断層撮影法)を組み合わせた検査です。 PET検査は、がん細胞が正常細胞に比べて多くのブドウ糖を取り込む性質を利用して、ブドウ糖にフッ素-18(18F)という極微量の放射線放出物質をくっつけた薬剤(FDG)を体内に注射します。するとがん細胞は正常な細胞より多くのFDGを取り込みます。
![]() |
![]() |
そこから出てくる放射線をPETカメラでとらえて、がん細胞の位置や大きさや進行の度合いを調べます。これに臓器やがんの細かな形態(形や大きさ)を見るのが得意なCT検査を同時に行うことで、さらに診断能を高めたのがPET-CT検査です。
![]() |
![]() |
![]() |
![]() |
PET-CTの流れ
| 検査前 | 検査前日および当日は、激しい運動をしないようにして下さい。検査の6時間前より絶食です。お水は飲んでも構いません。 |
![]() |
| 問診・説明 | 検査の説明や、絶食等の確認をさせて頂きます。 検査についてわからないことや不安なことがあればお聞きください。 |
![]() |
| 更衣 | 専用の検査着に着替えて頂きます。 |
|
| 体重・血糖値測定 | 検査を行う上で必要な体重や血糖値を測定します。血糖値結果によっては、当日検査が行えないことがありますので、ご了承ください。 |
|
| 注射 | ブドウ糖類似物質であるFDGという放射性医薬品を静脈注射します。 |
![]() |
| 安静・待機 | FDGが全身に行き渡るまで約1時間程安静にして頂きます。この間は動かずリラックスしてお待ちください。(お水を飲んで頂きます。) |
![]() |
余分なFDGが尿と共に膀胱に溜まっているため、排尿して頂きます。 |
![]() |
|
| 検査 | 撮影台で20~30分間静かに寝て撮影します。 |
![]() |
| 回復 | 画像確認と体内の放射線量を少なくするため約30分ほど休んで頂きます。 必要に応じて2回目の追加撮影を行う場合があります。 |
![]() |
| 検査終了 | 当日は受付から会計まで、2~3時間かかります。 |
|
PET-CT検査での注意点
- 検査6時間前から絶食してください。
PET-CT検査は身体内のブドウ糖代謝をみる検査ですので、食事や飲みもの(糖分を含むもの)が検査に大きく影響します。ただし、お水やお茶は飲んで頂いてもかまいません。 - 検査前日から当日にかけて必要以上の運動はさけてください。
激しい運動は身体の糖代謝を活発にするため、正しい検査結果が出ない恐れがありますので、避けてください。 - 糖尿病の方や血糖値の高い方は申し出てください。
糖尿病の方などで当日の血糖値が高い場合(150mg/dl 以上)、薬が筋肉に集まり正確な診断結果が得られないことがあります。また、糖尿病薬の内服やインシュリン注射は検査の6時間前から使用を控えて頂きます。検査当日の血糖測定で血糖値が高い場合には検査を中止させて頂く場合がございます。 - PET-CT検査を受ける1週間前から胃や大腸などのバリウム検査は行わないでください。
- 妊娠中または妊娠の可能性がある方、授乳中の方は申し出てください。
被ばくを伴う検査ですので妊娠中または妊娠の可能性のある方は原則検査を行えません。授乳中の方は検査後24時間、授乳を控えて頂きます。
※被ばくについて
放射性医薬品を使用するため、わずかな放射線被ばくがあります。1回のPET-CT検査で受ける被ばく線量は、PETで約3.5mSv(胃のバリウム検査と同等)、CTで約10mSv、あわせて約13.5mSvの線量です。この検査で放射線障害がおこることはありません。検査が終了しても、体内から微量の放射線が放出されています。この放射線が完全になくなるまでには24時間程度かかるため、その間の人ごみへの外出は、できるだけお控えください。また少なくとも12時間は、妊婦・乳幼児との緊密な接触もお控えください。
※キャンセルについて
原則、当日のキャンセルや検査時間の変更はできませんので、時間厳守で来院してください。
※その他
検査当日は水かお茶をご持参ください。検査薬は当日に輸送されます。天候や交通状況などで検査薬が届かない場合や、検査装置の不具合などで検査が遅れること、または中止せざるを得ないことがございます。 このような場合、ご連絡をいたしますので、ご了承ください。
核医学検査
放射性同位元素(RI)を体内に投与し、そこから出てくる放射線(主にガンマ線)を画像にする検査です。
核医学(RI)検査とは
微量の放射線(主にガンマ線)を出す性質のあるお薬(これを放射性医薬品やRIといいます)を体の中に入れ、検査用のベッドの上で静かに横になっている間に、専用のカメラで体の中の様子を画像にする検査です。
RI検査は核医学検査やアイソトープ検査などと呼ばれることもあります。
この検査の特徴は、目的の臓器(脳や骨、心臓など)に集まるように作られたお薬を用いることによって、その臓器の働きを診ることができ、これから行われる治療の指標にしたり、適切な治療が行われたかどうかの効果判定などに用いられます。
<RI検査の流れ>- 放射性医薬品は非常に有効期限が短く、検査予定日の朝に病院に届いたお薬を、その日のうちに使わなければなりません。そのため、必ず予約された日時に検査室にお越し頂きますようにお願いします。
- お薬は多くの場合、腕の静脈から注射しますが、カプセルのお薬を飲んでいただくこともあります。お薬によって臓器に集まる時間がそれぞれ違うために、注射後すぐに検査ができる場合と、時間をおいてからでないと検査を行うことができない場合があり、お薬が臓器に集まる間、お待ちいただく場合があります。
- お薬が目的の臓器に集まったら撮影を開始しますが、多くの場合20分~40分ほどベッドに横になっているだけで検査を行うことができます。検査によっては両腕を挙げながら行うものもありますが、比較的患者さんの体への負担が少ないこともこの検査の特徴です。
- 注射されたお薬は一度目的の臓器や器官に集まりますが、お薬が体から外に排泄されることや、お薬の放射線を放出する能力が時間とともに弱くなってしまうために、早いものでは数時間、遅くとも数日で放射線を出す能力が弱くなり、やがて無くなっていきます。
主な検査
脳血流シンチグラフィー
脳内の血液の流れを診る検査です。脳の病気には形に異常が現れる前に、機能的な異常が現れることがあります。脳血流シンチグラフィーではこのような機能の低下や血流異常を早期に発見するのに役立ちます。例えば、脳梗塞の診断や、認知症の早期発見などに利用されています。
ヘアピンや髪飾りは撮影に影響しますので外して検査を行います。検査時間はおよそ40分です。
![]() |
![]() |
| 脳血流シンチグラフィーの画像。 上の画像では血液の流れが良い部分ほど赤く、悪い部分は青く表示されています。 | さらに詳しい解析をすることで、血流の低下した部位を明瞭に描出することができます。 |
骨シンチグラフィー
全身の骨の様子を撮影し、がんの骨転移や外傷による小さな骨折など、エックス線検査などでは分かりにくい骨の様々な状態を調べることのできる検査です。
この検査に用いるお薬は、骨にゆっくりと集まる性質があるため、注射後3時間~4時間してから撮影を行います。
ネックレスやボタンの付いた衣服、時計などは外して、検査着に着替えていただきます。また、膀胱に尿がたまっていますと骨と膀胱内の尿が重なってしまい、写真が見にくくなってしまいますので、検査直前に排尿していただきます。検査時間はおよそ30分です。
![]() |
![]() |
正常な方の骨シンチグラフィーの画像 機能が活発な骨ほどお薬がよく集まります。 |
膀胱内に尿が溜まり、周辺の骨が見にくくなっています。 この検査では検査開始直前の排尿が大切です。 |
*その他、各検査の種類によっていろいろな注意事項がありますので、検査の予約時によく説明を受けてください。
よくある質問 Q & A
| Q1. | 検査に使う薬に副作用はありますか? |
| A1. | 現在使用されている放射性医薬品による副作用の発生はごくまれで、10万人あたりに1.3~2.7人と、他の検査に比べると非常に少ないのが特徴です。 |
| Q2. | 検査で受ける被ばくはどのくらい? |
| A2. | 私たちは日常生活でも、自然界から天然の放射線を受けています。その量は極めて微量で体に影響が出ることはありません。RI検査では1回の検査あたり、その自然の被ばくの1/5~5倍程度の放射線を受けるといわれています。RI検査の被ばくにより、お体に異常が起こることはありません。 |
| Q3. | 全ての人がこの検査を受けることができますか? |
| A3. | 副作用も少なく、年齢や体重によってお薬の量を調整できますのでほとんどの方に安心して検査を受けていただけます。ただ一部の患者さんについては注意が必要な場合もあります。 |
| *以下の患者さんは、検査予約時にスタッフにお申し出ください。 | |
|
|
| *何か不安なことがありましたら、お気軽に放射線科のスタッフまでお声かけ下さい。 | |
MRI検査
MRI検査
放射線を全く使わず、磁石の力と電波により画像をつくる検査です。
MRI検査とは
MRI(磁気共鳴画像)検査は、強い磁石と電波を使い、様々な角度から体の断面の撮影を行います。
強い磁石中に入り、電波を与えることにより、体の中の水素原子が共鳴します。
電波を止めると水素から微弱な電波がでます。この放出された電波を測定しコンピューターで画像にするのがMRI装置です。
この時に特有の大きな連続音がでます。
当院では現在2台のMRI装置で検査を行っています。
検査内容
頭部領域
脳梗塞・脳腫瘍・頭痛・めまいなどの検査を行います。
1回の撮影は2分程度です。症状に応じて数種類の撮影を行います。
検査時間は10~15分位です。
胸部領域
乳腺検査は乳癌の治療に際して広がり診断や存在診断に有効です。
心臓検査は動いている心臓を動画として観察したり、心臓の機能と冠動脈の形態を総合的に評価し、心筋梗塞や狭心症等の診断に役立っています。
腹部・骨盤領域
肝臓・胆のう・膵臓等の疾患の他、前立腺・膀胱などの検査を行います。MRIは組織コントラストが非常に良いため、子宮筋腫や卵巣腫瘍等の婦人科領域の診断に非常に有用です。
水からの信号を画像化することにより、胆のうや胆管、膵管を描出するMRCPという撮影も行っています。
整形領域
MRIではX線撮影で診断の難しい靱帯や半月板などの軟部組織を明瞭に描出することができます。
また、脊髄や椎間板なども鮮明に描出でき、椎間板ヘルニアや脊椎変性疾患などによる圧迫や、狭窄の診断に有用です。
注意事項
MRI検査で使用する磁石や電波は、普通は人体への影響はありません。
但し、強い磁石を使用するため、特殊な制約があります。
◇検査をうけていただくことができない方
- 刺激電極などの電子機器を身に付けてみえる方
- 人工内耳や磁石脱着式義眼などが装着されている方
- ペースメーカーが埋め込まれている方
◇検査を受けていただくことができない可能性のある方
*検査前に医師または担当技師にお伝え下さい- 脳動脈クリップ・人工関節・その他の金属が埋め込まれている方
- 妊娠もしくは妊娠されている可能性のある方
- 入れ墨・アートメイク(アイライン等)されてみえる方
- 閉所恐怖症など狭い所が苦手な方
◇検査前に取り外していただく物(持ち込めない物)
*故障や加熱の可能性があり、身体や検査画像に影響する場合があります。- 金属類(ヘアピン・カイロ・エレキバン・金属の付いている下着・入歯・ネックレス・ピアス・指輪など)
- 化粧品(マスカラ・アイシャドウ等) 磁性体が含まれている物があり、検査画像に影響があるだけでなく、目の粘膜を傷つけたりすることがありますので、出来れば付けずに来院してください。お化粧を落としていただく場合もあります。
- コンタクトレンズ
カラー着色には帯磁性のある酸化鉄と酸化チタンを使用しているため、眼球に影響を及ぼす可能性があります。 - ヒートテック等の機能性衣類
体温の上昇をまねくおそれがあります。
*差し歯・指輪などで取り外せない場合は無理に外していただかなくてもかまいません。
(看護師・担当技師にお知らせください)
造影MRI検査
MRI検査では、目的によっては造影剤という検査薬を使用することがあります。
造影剤を使用することによって血管や病巣がわかりやすくなり、より正確な診断が可能になります。造影検査の場合検査時間が10分程度延長します。
副作用は極めて少ない薬ですが、吐き気・嘔吐・じんましんなどの症状がでることがあります。
*造影剤を使用するにあたり、次の様な方は事前にお知らせください
- 以前に造影剤検査で副作用があった方
- 喘息(ぜんそく)・アレルギーなどの疾患がある方
- 重症の腎臓疾患がある方
- 妊娠もしくは妊娠されている可能性のある方
- 授乳中の方
何か異常がありましたら、病院までご連絡ください。
放射線治療
放射線治療
放射線(X線・電子線)を使っていろいろな病気の治療を行います。
特色
がんなどの病変に対する放射線治療を専門とする科です。 放射線治療は外科手術、化学療法と並ぶ治療の三本柱のひとつで、臓器の機能や形態を温存したまま行なうため体への負担が少ないことが特徴です。高齢の方にも適応があり、外来での治療も可能です。近年の治療技術の進歩で、副作用はより少なく、高い治療効果が上げられるため、放射線治療に対する需要は高まっています。 当院は地域がん診療連携拠点病院として、高精度な放射線治療を提供するため、2009年4月より放射線治療科を開設しております。 IMRT(強度変調放射線治療)に加え、県内で初めてIGRT(画像誘導放射線治療)に対応する最新の放射線治療装置を導入し、常勤の放射線治療医と、専属のスタッフが各科と連携を取りながら、放射線治療を必要とする患者さんに貢献できるよう努力しています。
●放射線治療の流れ ~診察から治療開始まで~
●診察予約について
放射線治療科の診察は予約制です。
診察予約を取っていただき、予約時間に合わせてお越しください。
ご予約方法はこちら

●当院の放射線治療 ~現在行っている治療技術について~
当院では画像誘導放射線治療(IGRT)や強度変調放射線治療(IMRT)対応の
放射線治療装置を導入し、常勤の放射線治療専門医(日本医学放射線学会専門医、 日本放射線腫瘍学会認定医)と専属のスタッフが毎日の放射線治療にあたっています。
ELEKTA Synergy
●放射線治療に関わるスタッフ
◎ 放射線治療専門医(日本医学放射線学会専門医、日本放射線腫瘍学会認定医)
◎ がん放射線療法看護 認定看護師
◎ 医学物理士
◎ 放射線治療専門放射線技師
◎ 放射線治療品質管理士
◎ 放射線治療科 事務員
放射線治療は長い方で約2ヶ月、毎日通っていただく治療になります。
治療に関する疑問、質問、通院時間の調整など、遠慮なくご相談ください。
放射線治療科スタッフ一同、患者さんがよりよい治療が受けられるように、
また、治療期間中出来るだけ負担が少なく通って頂けるようサポートしてまいります。
当院放射線科は、極力無駄な被ばくをなくし、最大限の検査情報をより迅速に各診療科に提供できるシステムを構築しています。その結果、CT・MRI・乳房撮影等では当日の申し込みで、ほとんどがその日に検査所見の説明を各科で受けることができるようになりました。
院外の申し込みにも柔軟に対応し、各医院さんからの希望通りに検査を行っており、地域医療支援病院としての役割を果たしています。
私たちは常に温かい心で 患者さんに接し、安心して検査を受けていただけるように心がけています。
検査の内容など、わからないことがありましたら、担当者までお気軽にお問い合わせください。



































